愛知県名古屋市の歯科医院

診療科目

一般歯科義歯の説明

一般歯科では、乳幼児からお年寄りの方まで、虫歯や歯周病の治療、入れ歯(義歯)の作成・調整などを行います。患者様が歯科医院に通院した際に受ける歯科治療の大半が、一般歯科の範囲となります。当院では、歯を残せるように丁寧な治療を心掛けています。

磁性アタッチメント義歯

磁性アタッチメント義歯とは、入れ歯と残っている歯のそれぞれに磁石を取り付けることによって、入れ歯の安定感やものを噛む能力を高める方法です。

保険による義歯

保険による義歯は、残っている歯に金属の維持装置を架け、入れ歯の安定感やものを噛む能力を高める方法です。

左側の義歯:磁性アタッチメント義歯右側の義歯:保険による義歯 左側の義歯:磁性アタッチメント義歯右側の義歯:保険による義歯

金属床義歯

金属床義歯とは、義歯床が金属で出来ている入れ歯です。

義歯床を金属にすることで入れ歯を薄くすることができるので、保険のものよりもしゃべりやすかったり、違和感が少なかったりする総入れ歯を作れる可能性が高くなります。

ただし、金属床義歯は修理が難しく、非常に高価なので、保険の入れ歯ではどうしても満足できないという場合に担当の歯医者さんと相談して適用するかどうかを決めるべきだと思います。

審美歯科美しく、健康的な歯を形成する総合的な歯科治療

「歯を白くしたい」「歯並びを整えたい」など、口元の美しさを気にする人は増えています。
審美歯科は、クリーニングや漂白、歯列矯正、ラミネートベニア法、オールセラニッククラウン法、メタルボンド法など様々な手法、方法により、美しく、健康的な歯を形成する総合的な歯科治療です。
治療において、もっとも大切なのは「カウンセリング」です。
患者様が、どのような悩みを持っているのか? それをどう解決するのがいいのか?
患者様が満足し、その笑顔を見ることが私たちの希望です。

ホワイトニング

毎日の歯磨き、歯科医院でのデンタルケアで落とすことが難しい、歯の内部の色素沈着を、薬剤により落としていきます。
歯の表面を削ることなく、色素を分解することで歯を白くすることができます。笑顔の時にのぞく白い歯はとても魅力的で、自分への自信を持てるようになります。

ガムブリーチ(メラニン色素除去)

ガムブリーチングとは、薬剤を使用して、変色した歯茎の色を元に戻す治療法です。
歯茎の変色には主に次の3つの原因があります。

  • 1.メラニン色素の沈着
  • 2.歯科用金属による色素沈着
  • 3.歯の根っこ(歯根)の色が透けている

ガムブリーチングはこのうち、1の「メラニン色素の沈着」に対して有効です。
メラニン色素が沈着する原因は煙草や歯周病によるものが比較的多いです。
この場合、当院では、薬品を使用してガムブリーチングを行なうことにより、メラニン色素を除去することが可能です。
処置時間は約10分程度で痛みはありませんが、治療後2~3日はヒリヒリすることがあります。
沈着度合いにもよりますが、通常2回くらいの施術で、元もきれいな歯茎の色に戻ります。

オールセラニッククラウン法

歯の表面を削り、そこにセラミック(陶材)のみで製作したクラウン(冠)を合着させて歯の色、形、歯並びなどの審美的要素をトータルに修復、改善する方法です。上記のラミネートに比べ大規模な修復が可能です。

右から オールセラミック、メタルボンド、保険で前歯に使用するレジン前装冠、保険で奥歯に使用するメタル冠

メタルボンド法

オールセラミックスとほぼ同じ物ですが,より強度が要求される場合に用いられます.内部(外から見えない部分)を金属で製作する事によってたわみ等に対する抵抗度が高くなっております,ただし審美的にはオールセラミクスが勝っておりますので,症例によって上手に使い分ける事が大切です。

ラミネートベニア法

歯と歯の間に隙間があるときや、歯の形が生まれつき小さかったりする場合、歯の表面を薄く削って強力な接着剤でセラミック製の薄板を貼る方法をラミネートベニア法と言います。オールセラミックスに比べ歯を削る量がわずかで済むのが特徴です。主に前歯や小臼歯に行ないます。ブリーチングでは白くならない歯や、色と同時に形も整えたい時にも最適です。

部分矯正(MTM)とは

部分矯正(MTM…マイナー・トゥース・ムーブメント)とは、動かす歯を1本~数本に限定して矯正治療を行う方法です。通常の矯正は多数の歯を動かすため、治療に2~3年程度の歳月が必要とされていますが、部分矯正は、動かす歯を1本~数本に限定して矯正治療を行うので、補綴処置を組み合わせれば、半年程度で症状を改善できます。
■ 部分矯正(MTM)の特徴
部分矯正はすべての症例に有効な治療法ではありませんが、短期間で施術することができ、補綴治療(クラウンやブリッジの治療など)を行う際に、歯の位置や傾斜などの歯並びの一部を事前に修正する場合や、隙間があいている前歯を移動させる、傾いている歯をまっすぐに修正する場合に有効な治療法です。

小児歯科歯は一生の財産

子供の歯(乳歯)は通常、全部で20本あります。生後約6ヵ月頃から生え始め、3歳頃に20本生えそろいます。そして、6歳頃から大人の歯(永久歯)が生えてきます。歯は一生の財産。丈夫で綺麗な歯は、お子様への最高のプレゼントです。お子様が生涯虫歯で困ることのないよう、小さな頃からご家庭でのセルフケアと定期健診による早期発見、治療が大切です。 イヤがらずに定期的に通っていただくために、お子さま一人ひとりのペースに合わせて治療をすすめてまいります。

フッ素

「フッ素」とは歯の表面にあるエナメル質を強化する性質を持っています。やわらかく虫歯になりやすい乳歯、萌出直後の永久歯は虫歯になりやすいので、年3~4回程度の定期的なフッ素塗布をお勧めします。

小児矯正を始める前に
お子さんにあった矯正

子どもの場合、美しい歯並び、正しい噛み合わせになるように早い時期から成長発育を見守ることが大切です。 あごの成長が途中の子どものころから、矯正を始めると、顎の成長をうまくコントロールすることが可能になり、キレイに仕上がる、抜歯する可能性が低くなるなどのメリットがあります。逆にあごが成長する子供の頃に、悪い歯並びやお口に関する癖を放っておくと、あごの発育が正常に行われず、顔の形などに影響が出ることがあります。上下のあごの位置がずれることによって起こる受け口などの症状は、乳歯のはえている早い時期からの治療が効果的です。早い時期に矯正を始めると、あごの成長を適切に誘導しながら治療を進めていくことができるので、より永久歯が生えるときに正しい噛み合わせにできる可能性が高くなります。

矯正を始めるタイミング

矯正を始めるタイミングは、子どもが器具を使えるようになればいつでも可能ですが、顎の成長を治療に利用できる時期の方が、より良好な治療結果を期待できます。気になったときが治療時期と考えていただき、一度検診を受けることをお勧めします。

噛み合わせ治療の重要性

噛み合わせの異常をがあると噛む機能がうまく働かないだけでなく、体や顔のゆがみの原因になる他、コンプレックスとなることにより性格など心理面に影響があります。治療を開始する時期は、その方の噛み合わせの状態によりますが、できるだけ早期に取り組むことで、より効率的に改善できる場合もあります。

「抜かない治療」も可能

指しゃぶりなど、癖やその他の不正を引き起こすと考えられる原因を取り除くことで、予想される不正が起きないようにします。永久歯に生え変わる成長期で、顎の骨がよく発達するのがこの時期ですので、大切な永久歯 を抜かずに歯並びを整えることも可能です。また、不正をそのまま放っておいて、将来本格的な矯正治療を受けるよりも、簡単な装置でしかも治療費用も安く治すことができます。

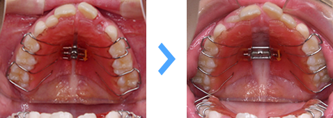
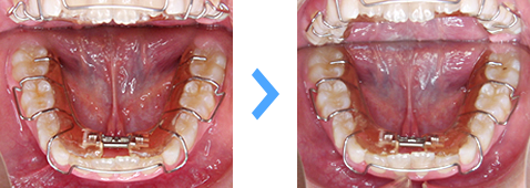
拡大床とは

拡大床 [かくだいしょう] は、歯列の横幅(歯列弓)を横に広げたり、数歯の移動を目的とした装置です。 装置の中央には、「拡大ネジ」とよばれるネジがあります。このネジの幅を広げる力を加えることで、歯の土台となる歯槽骨を側方に押し広げる構造です。

拡大床には主に、レジン(プラスチック)のプレート、金属製の太いワイヤー、歯列弓を押し広げる力を調節するネジの3つから構成されている「プレートタイプ」と、レジンのプレートがない「スケルトンタイプ」の種類があります。

適用対象は、主に乳歯列期や混合歯列期初期のお子様の第1期治療に使用されます。
症状によって、拡大床の治療のみで咬み合わせが改善する場合もありますが、通常は、乳歯列期や乳歯と永久歯が混ざった混合歯列期に拡大床で歯列の幅を広げた後、全ての歯が永久歯に生えそろうのを待ってから、第二期治療として、ワイヤーとブラケットを使ったワイヤー矯正を行って、全体の歯並びやかみ合わせを治療することが多いです。

一例 拡大装置の症例写真 (プレートタイプ)

上顎側方拡大装置(拡大床)

上あごの歯列の幅を、 拡大装置で広げ、永久歯が生えるスペースができました。

拡大ネジの幅を毎日すこしづつ広げて、歯列を押し広げる力を増やします。

下顎側方拡大装置(拡大床)

下あごの歯列弓を広げる装置です。拡大ネジは前歯の裏側にあります。

予防歯科予防歯科の説明

高濃度次亜塩素酸水
(自宅での予防用として)導入

電気分解水(高濃度次亜塩素酸水)とは人間の血液中にある、免疫成分の次亜塩素酸(HCLO)という成分を高純度の塩と水を電気分解し作った電解機能水です(食品添加物認可)。
お子様が飲んでも安全。
強い殺菌力があり、口腔内の洗浄に使用した際は、汚れに反応し、除菌力が上がるため、虫歯や歯周病の予防に効果があります。

次亜塩素酸は、人体に元来備わっている殺菌成分です。

次亜塩素酸(HCLO)は、白血球(好中球)の持つ殺菌能力の本質です。

・人間の体内で、白血球が細菌を殺す過程で、主に作用しているのは、「次亜塩素酸」といわれています。
・次亜塩素酸を用いた治療法は、この殺菌力と安全性に着目した治療法です。
・口腔内の治療個所を約1秒で消毒できます。

白血球は活性酸素を利用して次亜塩素酸(HCLO)を生成し細菌を死滅させます。

高濃度次亜塩素酸水の用途と効果

・口臭対策
・虫歯や歯周病予防
その他お部屋の消臭、殺菌、抗ウイルス、キッチン周りの除菌、皮膚の消毒などにも効果があります。

当院で販売

当医院では、虫歯、歯周病などの治療後、お一人ずつの、口の中の状況に合わせて
定期検診 一か月、三か月、六か月などにさせていただき、長く皆様が楽しい食事
ご友人、家族の方と笑顔でお話しできるようにサポートさせていただきたいと
思っております。

歯周病の兆候

「ブラッシングの際に血が出る」「歯ぐきが腫れている」といった症状がありませんか? もしかしたらそれは、歯周病の兆候かもしれません。日本は「歯周病大国」と呼ばれており、30代の約8割が歯周病だといわれています。歯周病は、歯周細菌と呼ばれる細菌が、歯茎の内側に入り込むことで発生します。歯周病が進むと、歯ぐきだけではなく、歯を支えている顎の骨(歯槽骨)にまで炎症が及びます。進行を抑えられなければ歯を支えることが困難になり、最終的には歯を失ってしまう恐ろしい病気です。歯周病を予防するには、早期発見・早期治療が大切です。歯周病かもと感じたら早めにご相談下さい。出来るだけ歯を保存出来る様に心がけ治療しています。

毎日念入りに歯を磨いていても、お口の中の汚れを完全に取り除くことはできません。そうして知らないうちに磨き残した部分や、歯に付いた頑固な汚れを、専用機器を用いて綺麗にクリーニングします。色素や歯石が歯に付着すると、見た目が汚くなってしまうだけでなく、虫歯や歯周病といったお口のトラブルの原因となります。ご家庭での日頃のメンテナンスに加え、歯科医院での専門的な予防を行うことが大切になっています。

口腔外科口腔(お口の中)の外科処置を行う科目

歯科医院では、虫歯や歯周病の治療だけでなく、お口の中の様々な疾患に対応しています。「歯は痛くないけれど、口の中に違和感がある」「親知らずが気になる」「顎が開かない(顎関節症)」という方は、ご相談ください。

訪問診療訪問診療の説明

訪問診療の対象となる方
・お一人で通院するのが難しい方
・通院介助の時間が取れない方
・介護サービスを受けておられる方
・認知症や寝たきりの方
※対象となるかご不明の場合は、当院までお気軽にご相談下さい。

ご自宅や施設・入院先での訪問歯科診療は、むし歯や入れ歯の治療や予防はもとより、口腔内の清掃や口腔リハビリ等によって、歯周病菌を原因とする動脈硬化の抑止、誤嚥性肺炎の予防など、さまざまな疾病の予防を目的としています。

義歯作成・修理、むし歯治療、歯周治療、抜歯、義歯清掃、口腔ケアなど、歯科医院で行なうほとんどの治療が可能です。
まずはお気軽にお電話ください。スタッフが丁寧にご説明いたします。

Page Top